Children's Primary Tooth Extraction
Children’s primary tooth extraction is a common dental procedure aimed at managing primary teeth that cannot be preserved or that affect the normal eruption of permanent teeth. Through a professional extraction procedure, we ensure the healthy development of permanent teeth, creating a better environment for the child’s oral health.
Benefits of Primary Tooth Extraction
Promote Healthy Development of Permanent Teeth: Removing problematic primary teeth provides ample space for the proper growth of permanent teeth.
Improve Oral Health: Eliminates oral inflammation and infections caused by issues with primary teeth.
Enhance Oral Function: Restores chewing and biting functionality, helping children eat normally.
Frequently Asked Questions
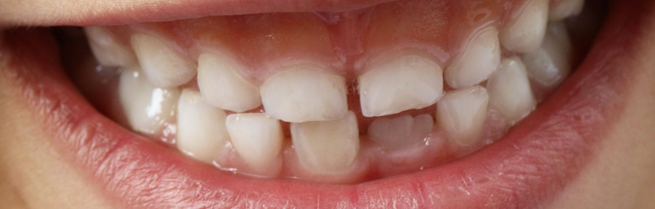
When is Primary Tooth Extraction Needed?
Eruption of Permanent Teeth: When permanent teeth begin to erupt, the loosening of primary teeth is an ideal time for extraction. This prevents abnormal growth of permanent teeth due to retained primary teeth.
Severe Decay: If a primary tooth is severely decayed or affects the dental pulp, extraction is an effective measure to prevent the spread of infection.
Retention of Primary Teeth: If permanent teeth have erupted but the primary teeth have not fallen out, they should be extracted promptly to ensure the proper eruption and alignment of permanent teeth.
Supernumerary Teeth: If X-rays reveal extra teeth, it’s best to extract them by age 2-3 to avoid unnecessary risks associated with general anesthesia.
Transition Period: During the transition from primary to permanent teeth, primary teeth should naturally fall out. If a primary tooth is retained despite the eruption of the permanent tooth, consider extraction as soon as the permanent tooth breaks through the gum.
Best Time for Extraction?
It is recommended to schedule extractions in the morning after breakfast to avoid inconvenience with eating post-procedure.






